Стоимость услуги от 19900 руб.
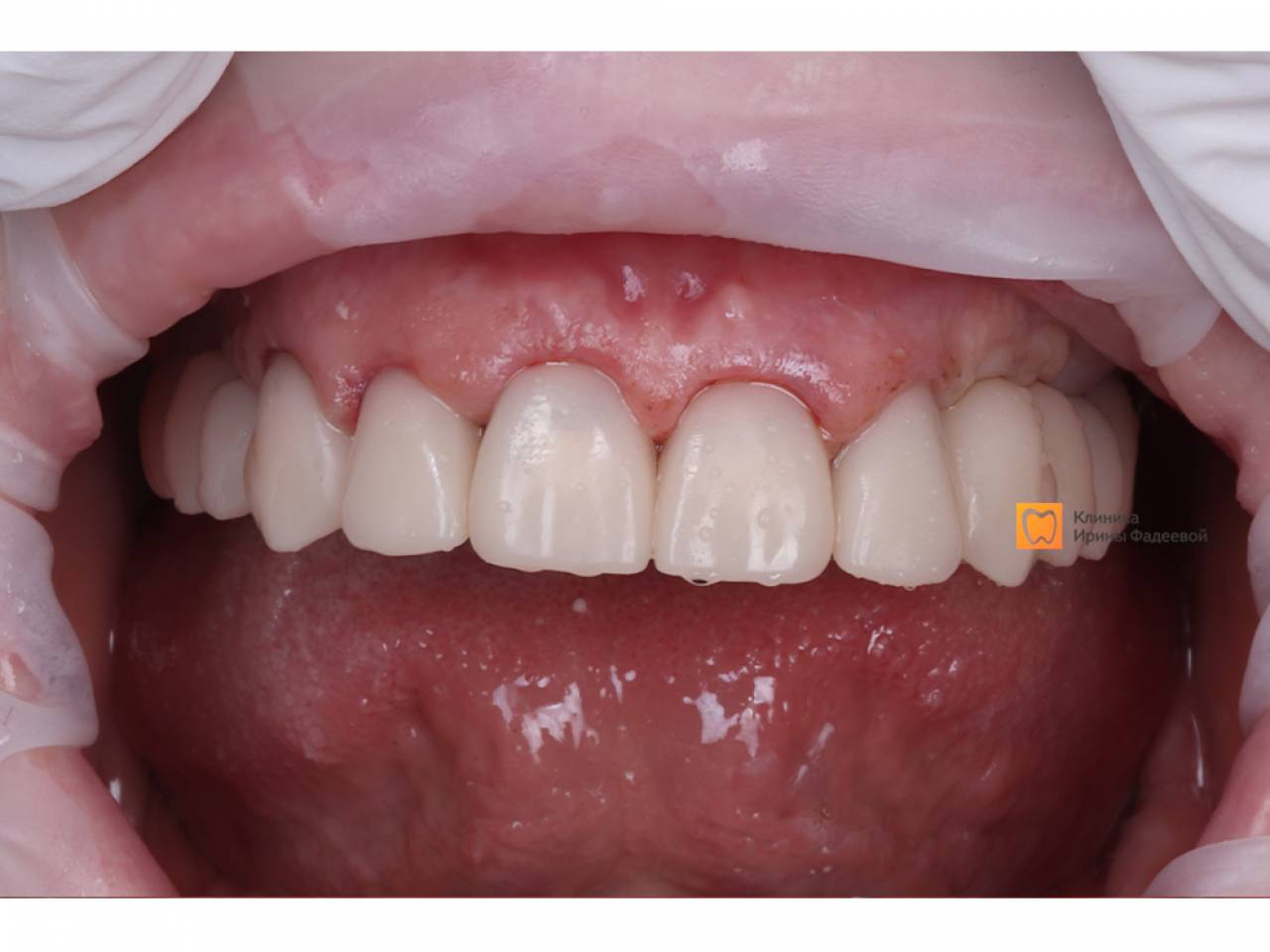
Виниры E-MAX – вид ортопедических протезов, изготовленных из высококачественной прессованной керамики. Тончайшие пластины накладываются на фронтальную поверхность зуба, закрывают эстетические дефекты, сколы и диастему. Метод имеет ряд противопоказаний, используется только для восстановления зубного ряда в зоне улыбки.
Особенность протезирования винирами
Виниры E-MAX – наиболее тонкие, имеют толщину до 0,6 мм. Миниатюрная конструкция отличается высокой степенью прочности и надежности. Уникальный материал по структуре идентичен натуральной эмали: микропротез сложно отличить от настоящих зубов.
Основные этапы установки:
- комплексная подготовка ротовой полости;
- санация, лечение кариеса, обновление пломб;
- профессиональная чистка ультразвуком, лазером;
- обработка поверхности зуба, обточка фронтальной стороны на толщину до 0,3−0,7 мм;
- изготовление по индивидуальному слепку временных накладок, которые закрывают препарированный зуб;
- создание в зубопротезной лаборатории клиники виниров методом прессованной керамики;
- фиксация на специальный стоматологический клей.
На последнем этапе стоматолог проверяет прикус, оценивает контакт с соседними и противоположными зубами, подгоняет виниры.
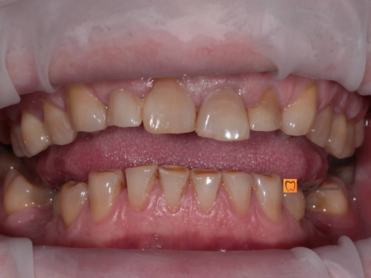
Показания к установке
Тонкие керамические пластины E-MAX рекомендуются в следующих ситуациях:
- закрытие скола или диастемы на передних зубах;
- изменение оттенка эмали, темные, белые или тетрациклиновые пятна;
- устранение трещин;
- реставрация передних зубов при повреждении.
Виниры закрывают межзубные промежутки, помогают выровнять по высоте зубной ряд, используются для коррекции несложных дефектов прикуса.
Противопоказания к установке виниров
Метод относится к эстетической реставрации зубов, поэтому не используется для восстановления жевательных единиц. Виниры не устанавливают в следующих ситуациях:
- сильное разрушение зуба;
- большие пломбы с внутренней стороны резца или клыка;
- выраженные дефекты прикуса;
- бруксизм.
Виниры E-MAX из керамики не рекомендуются, если у человека сохраняются некоторые вредные привычки. Пластины не устанавливаются на депульпированные зубы. В таком случае стоматологи предлагают более прочные коронки из металлокерамики или диоксида циркония.
Команда профессионалов с многолетним опытом
Гарантия качества
Врачей - стоматологов
Вылечено зубов
Положительных отзывов
без выходных

